MCL and Posteromedial Corner

 

MCL anatomyMCL 2MCL tibial avulsion 2MCLR

 

Anatomy

 

1. Seebacher's 3 layers of the medial knee

 

Layer 1 Layer 2 Layer 3

Sartorius

Sartorius fascia

Superficial MCL

Posterior oblique ligament

Semimembranosus

Deep MCL (meniscofemoral and meniscotibial ligament)

Posteromedial capsule 

 

2. MCL

 

Superficial MCL Deep MCL

Triangular in shape

Origin: 3 mm proximal and 5 mm posterior to the epicondyle

Insertion: 6 cm distal to the joint line onto posteromedial tibia, deep to pes anserinus

Anterior margin free

Deep to MCL

Origin: inferior to medial epicondyle

Insertion: 1 cm below joint line

Meniscofemoral and meniscotibial ligaments - capsular thickening

 

3. Posteromedial corner (5 components)

 

Dold et al. JAAOS 2017

 

Medial Knee AnatomyOblique popliteal ligamentMedial knee anatomy

 

i) Posterior oblique ligament (POL)

- behind / posterior  the superficial MCL

- origin: femur posterior and distal to adductor tubercle

- insertion: central arm onto posterior tibia below articular surface and the posteromedial capsule

 

ii) Semimembranosus

- attaches to the posteromedial corner of the tibia just below the joint line

- also has extensions blending with POL and OPL

- important dynamic stabiliser

 

iii) Oblique Popliteal Ligament (OPL)

- extension of semimembranosus

- extents laterally towards lateral femoral condyle

- thickens posteromedial capsule

 

iv) posteromedial joint capsule

 

v) Posterior horn of medial meniscus

 

4. Pes anserinus

 

Runs superficial to MCL

- 3 components: sartorius, gracilis, semitendinosus

- "Say Grace before Tea"

- the saphenous nerve and small saphenous vein emerge between sartorius and gracilis

 

Function of MCL and Posteromedial corner

 

MCL primary valgus stability at 30o flexion

Secondary restraint to

- anterior translation

- external rotation

 

Secondary static medial stabilisers

- contribute to medial stability in full extension

- ACL

- posteromedial corner

- PCL

 

Secondary dynamic medial stabilisers

- pes anserinus

- semimembranosus

 

History

 

Valgus force +/- external rotation

May hear a pop

 

Examination

 

Discreet tenderness at femoral or tibial insertion of MCL

 

1. Valgus stress test at 30° flexion and full extension

 

Remember to test both sides, and compare to contralateral side

 

Gapping at 30° flexion

- isolated injury to MCL

 

MCL increased valgus at full extension

 

Gapping in full extenstion

- injury to a secondary stabilizer

- ACL / PCL / posteromedial corner

 

2.  Anteromedial rotational instability (AMRI)

 

Assessing for injury to posteromedial corner

 

a) valgus stress test with foot external rotated (see medial gapping with forward subluxation of the anteromedial tibia)

 

b) anterior drawer test at 90o with foot externally rotated (again will see forward subluxation of the anteromedial tibia)

 

Posteromedial corner review article

 

3.  Assess ACL / PCL

 

MCL Grading

 

Fetto and Marshall Clin Orthop 1978

 

Grade I / Pain at 30° flexion no opening

 

Indicates sprain but no tear of MCL

 

Grade II / Some laxity at 30° flexion, none in full extension

 

Partial tear of MCL

 

Grade III / Laxity in full extension

 

Complete tear of MCL and posteromedial corner

Possible disruption to ACL / PCL

 

MCL 1MCL 2

Grade III MCL - opening in full extension

 

Associated Injuries

 

1.  ACL 

 

Willinger et al. KSSTA 2021

- 60% of ACL injuries involve an injury to the superficial MCL

 

2. Posterior oblique ligament

 

Sims et al. AJSM 2004

- 99% of patients with grade III MCL injury had POL injury

 

2.  Meniscus

 

X-ray

 

Usually normal in acute injury

 

Bony avulsions (rare)

 

MCL Bony Avulsion

Bony avulsion of MCL on femoral side

 

Pellegrini-Stieda Lesion 

- calcification at insertion of femoral MCL

- indicative of chronic injury

 

Pellegrini Steida Lesion

 

MRI 

 

Classification

 

Grade I: intact ligament with periligamentous oedema

Grade II: partial tearing with surrounding oedema

Grade III: complete ligament tear

 

Sites

 

Femoral avulsion

Midsubstance

Tibial side: wave sign, ensure that the MCL is no flipped above pes anserinus as will not heal (analogous to Stener lesion)

 

MCL acute grade 3 Femur MRIMCL acute femoral avulsion

Acute femoral avulsion

 

MCL Midsubstance Tear MRI 1Acute MCL avulsion with rollback

Midsubstance MCL tears

 

MCL tibial avulsion 1MCL tibial avulsion 2

 

Wave sign indicative of tibial avulsion, with ligament retracted above pes anserinus / hamstring tendons

 

MCL Chronic Femoral Thickening on MRIMCL Chronic Femoral Thickening

In the chronic setting see thickening of the MCL

 

Arthroscopy

 

Findings

- medial drive through sign

- excessive opening of medial compartment

- may see lift off of the medial meniscus with injury to deep MCL / meniscotibial ligament

- may see injury above medial medial meniscus with injury to deep MCL / meniscofemoral ligament

 

Arthroscopic Lift off of medial meniscus in MCL injuryMCL injury arthroscopy

Meniscotibial ligament injury                                    Meniscofemoral ligament injury

 

Isolated MCL Management

 

Non operative Management

 

Indication

- isolated injury to MCL (grade I / II)

- no ACL / PCL / posteromedial corner / meniscal injury

- no displaced tibial avulsion of MCL

 

Grade I / II

 

Control pain & inflammation

- RICE / analgesia / weight bear as tolerated

- muscle-strengthening exercises once FROM

- begin jogging once pain free

- grade I: typically, 1 - 3 weeks return to sport

- grade II: can be 6 - 8 but sport dependent

- usually, a brace is not necessary

 

Lundblad et al. KSST 2019

- 130 MCL injuries UEFA elite soccer players

- use of brace in grade II associated with longer return to play

 

Grade III

 

Ensure no concomitant injury

Consider a hinge brace

Can consider extension block but risk stiffness

 

Combined Ligament Injury

 

ACL + MCL

 

Grade II MCL

 

Millett et al J Knee Surg 2004

- early ACL reconstruction with non operative management MCL in 18 patients

- at 2 year follow up no graft failure or valgus instability

 

Zaffagnini et al JBJS Br 2011

- 3 year follow up of ACL reconstruction with grade II MCL treated nonop

- no impact on AP instability on KT-1000 at 3 year follow up

- all patients had some residual ML instability on Telos stress xrays

 

Grade III MCL

 

Halinen et al. Am J Sports Med 2006

- RCT of acute ACL reconstruction in patients with grade III MCL

- early ACL reconstruction

- operative v non operative management of MCL in 47 patients

- no difference in the two groups with regards outcome or stability

 

Westermann et al. Arthroscopy 2019

- MOON group

- 1.1% (27/2586) had grade III MCL with ACL

- 16 managed operatively, 11 managed nonoperatively

- patients managed operatively had worse outcomes scores both before and after surgery

 

Operative Management of Grade III MCL injuries

 

Indications

 

Displaced bony femoral avulsion

Displaced tibial avulsion above pes anserinus or into joint

Chronic grade III MCL / posteromedial corner injury with instability

Grade III MCL in setting of ACL / PCL ligament injury

 

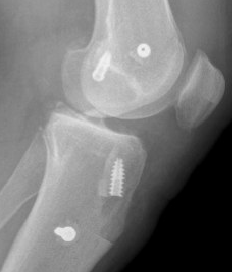
Bony MCL Avulsion

 

Elevate VMO and repair with staples or screw

 

MCL Bony Avulsion IntraopMCL Bony Avulsion Intraop 2

 

MCL Bony Avulsion ORIF APMCL Bony Avulsion ORIF Lateral

 

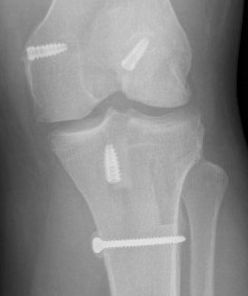
MCL repair

 

Tibial side

 

MCL Stener LesionDistal Tibial Advancement 1Distal tibial advancement repair MCL

 

 

MCL Tibial AvulsionMCL Tibial Avulsion Double Row Repair

 

Femoral side

 

Hughston Procedure

- advance femoral attachment of MCL and POL

- tighten POL anteriorly onto MCL

- consider imbricating semimembranosus to decrease slack

 

Proximal MCL Advancemetn 1Proximal MCL Advancement 2Proximal MCL Advancement 3

Advancement of proximal MCL / POL with screw, and imbrication / tightening of POL

 

MCL Reconstruction APMCL Reconstruction Lateral

Tightening of proximal MCL / POL with sutures

 

MCL Advancement APMCL Advancement Lateral

Advancement of femoral MCL and staple / suture anchor fixation

 

Outcomes

 

Delong et al. Arthroscopy 2015

- systematic review of all repair techniques

- 16 papers with 355 knees

- 75% had side to side difference of < 3 mm

- 6% failure rate

 

3.  Reconstruction of MCL and posteromedial corner

 

A.  Single bundle anatomic allograft MCL reconstruction (no POL)

 

ACL MCLACL MCL

ACL / MCL

 

MCL Reconstruction Tendoachilles allograftMCL Reconstruction tendoachilles allograft

ACL / MCL

 

Marx technique MCL reconstruction with tendoachilles allograft PDF

 

Marx technique MCL reconstruction with tendoachilles allograft Vumedi

 

Femoral attachment

- 4 mm proximal and posterior to medial epicondyle

- image intensifier: intersection of the posterior femoral condyle with Blumensaat's line

- 40o anterior to avoid notch

- 40o proximal to avoid PCL tunnel

 

SchottleMCLMCL recon

 

Tibial attachment

- 6 cm from joint line

- just posterior to pes attachment

 

MCLRMCLRMCLR

 

MCLRMCLR

 

B.  Single bundle anatomic hamstring autograft MCL reconstruction (no POL)

 

MCL Reconstruction 2 Incision

 

LaPrade surgical technique PDF

 

C.  Double bundle anatomic reconstruction of MCL and POL

 

Vumedi video

 

Surgical Approach to Medial Knee

 

Position

- knee flexed to 90o, over bolster

- tourniquet

- sandbag under hip

 

Incision

- hockey stick medial incision

- halfway between borders of tibia

- extends proximally to adductor tubercle

- distally to pes anserinus

 

Superficial dissection

- protect the saphenous nerve and small saphenous vein

- emerges from between sartorius and gracilis

- divide medial patella retinaculum from VMO down

- divide sarfascia over pes anserinus

- reflect pes anserinus inferiorly

 

Deep dissection

- elevate VMO to identify proximal insertion of superficial MCL

- expose superficial MCL running from medial epicondyle down to tibia under pes

- popliteal oblique ligament and semimembranosus are posterior to MCL

- can expose posterior capsule by carefully reflecting medial gastrocnemius posteriorly