

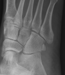
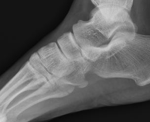
Os peroneum
Location
Sesamoid in peroneus longus
- at level calcaneo-cuboid joint
- articulates with cuboid
Incidence
5 - 30% population
60% bilateral
Painful os peroneum syndrome
Clinical
Lateral foot pain
Etiology
Fracture os peroneum
Stress fracture os peroneum
Tendonitis / tendinopathy / tears
Xray

Displaced os peroneum suggests complete P longus tear
Management
Stockton et al Foot Ankle Int 2014
- 12 cases of P longus tears with os peroneum
- 8 cases of os peroneum fracture
- 4 cases P longus thickened and trapped in cubital tunnel
- all treated with tenodesis to P brevis