Complex elbow dislocation

elb diselb dis

 

Definition

 

Elbow dislocation with concomitant fractures

Inherently unstable

 

Injury patterns

 

Elbow dislocation + radial head fracture

Elbow dislocation + coronoid process fracture

Terrible triad - elbow dislocation + MCL injury / coronoid process fracture / radial head fracture

Elbow dislocation + proximal ulna fracture - Monteggia / Monteggia variant

 

Elbow dislocation with radial head fracture

 

Management

 

Critical to elbow stability

 

Based upon Mason classfication

 

www.boneschool.com/radial-head-fractures

 

Mason Classification

 

Mason Classification

 

Type 1 Type II Type III

Minimally displaced fracture < 2 mm

No block to rotation

Displaced fracture radial head > 2 mm

Reconstructable

Comminuted fracture radial head

Unreconstructable

Non operative

ORIF

+ LCL repair / reconstruction

+/- MCL repair / reconstruction if unstable

 

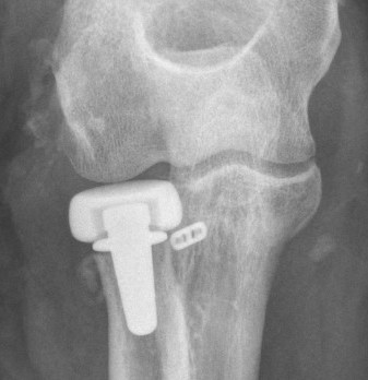
Radial head replacement

+ LCL repair / reconstruction

+/- MCL repair / reconstruction if unstable

 

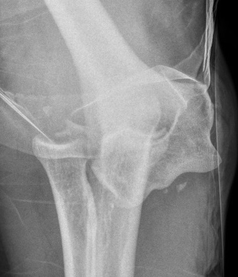
mason 1 CT Radial Head Fracture Type 3 radial head
  rh orif Radial Head Replacement Lateral

 

Results

 

Mirzayan et al JSES 2023

- 450 cases of radial head arthroplasty

- revision rate 18% for terrible triad versus 10% isolated cases

- increasing radial head diameter associated with increasing revision rate

 

Chen et al Medicine 2019

- systematic review of radial head ORIF v replacement in terrible triad

- better functional outcomes and lower complications with radial head arthroplasty

 

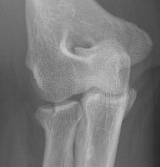
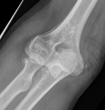
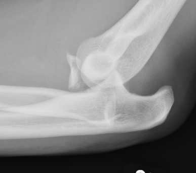
Elbow dislocation with coronoid process fracture

 

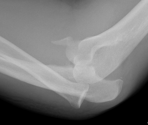
Elbow Dislocation Large Coronoid Fragment

 

Coronoid process

 

www.boneschool.com/coronoid-process-fractures

 

Coronoid is the most important portion of ulno-humeral articulation

- provides anterior buttress

- attachment of capsule and brachialis

- anterior band of the MCL attaches to it

 

Regan and Morrey classification of transverse coronoid fractures

 

Elbow stability related to size of coronoid fragment

 

Coronoid Process Classification

Type I Type II Type III
Small coronoid process fracture 50% of coronoid process > 50% coronoid process
Usually stable

Capsular attachment

Elbw may be unstable

 

Capsule + MCL attachment

Elbow unstable

 

Coronoid Fracture Type 1 coronoid Type 3 Coronoid Fracture
coronoid coronoid coronoid

 

O'Driscoll classification anteromedial coronoid facet fractures

 

Type I Type II Type III
Transverse fractures Anteromedial facet fractures Basilar fractures
Lasso suture fixation

Lasso suture fixation - small

Medial buttress plate / screws - large

Dorsal +/- medial plate
coronoid coronoid coron

 

Anteromedial coronoid facet fragment

- associated with varus posteromedial rotational force

- associated with tear of lateral ulna collateral ligament (LUCL)

 

Approach

 

Approach options for coronoid fixation

- radial head arthroplasty - lateral approach through radial head

- olecranon fracture - through fracture bed

- medial approach - coronoid fixation without radial head fracture

 

Medial approaches

 

Hotchkiss over the top FCU split Taylor and Scham

 

Split flexor pronator mass

- interval between FCU and palmaris longus

- elevate pronator teres / FCR / palmaris longus

- +/- detach from medial epicondyle

- open capsule

- detach brachialis from anterior coronoid process

 

 

Dissect out ulna nerve

- follow into FCU

- open two heads of FCU

- elevate flexor pronator mass off capsule

- open capsule

- detach brachialis from anterior coronoid process

 

Elevate entire flexor - pronator mass

- subperiosteal elevation from ulna

- posterior to anterior

 

 

Access to tip of coronoid

 

Access to anteromedial facet Access to base of coronoid

 

AO surgery reference medial approach to coronoid

 

Vumedi Hotchkiss over the top coronoid fixation video

 

Vumedi FCU split coronoid fixation video

 

Vumedi Hotchkiss over the top coronoid fixation video

 

Vumedi medial approach to coronoid + lasso fixation + plate video

 

Fixation

 

Lasso suture - suture fragment, use ACL guide to direct drill holes through olecranon to base of coracoid

Screws - PA screws into fragment

Buttress plate

 

Coronoid Buttress Plate LateralCoronoid Buttress Plate AP

Coronoid buttress plates

 

Terrible Triad 

 

Complex Elbow Dislocation APComplex Elbow Dislocation Lateralelbo dis

 

Definition

 

Elbow dislocation with radial head fracture + coronoid fracture + MCL tear

 

Technique

 

www.boneschool.com/radial-head-fractures

www.boneschool.com/coronoid-process-fractures

www.boneschool.com/elbow-external-fixation

 

Vumedi terrible triad repair radial neck ORIF + coronoid lasso + LCL internal brace repair video

 

Skin incisions

 

1. Lateral

- Kocher / Kaplan / EDC split

- for radial head / coronoid / LUCL

 

2. Medial

- FCU split / split flexor pronator mass / detach entire flexor pronator mass

- for medial approach to coronoid +/- MCL if needed

 

3. Universal Posterior Approach - make medial and lateral skin flaps for medial and lateral approach

 

Surgical Algorithm

 

Principles

 

1. Restore coronoid stability - ORIF type II / III, suture repair type I

2. Restore radial head stability - radial head ORIF or arthroplasty 

3. Restore lateral stability - LCL repair and common extensor origin +/- reconstruct +/- internal brace

4.  +/- Restore medial stability - repair MCL if residual stability

5. +/- External fixation / internal joint fixation

 

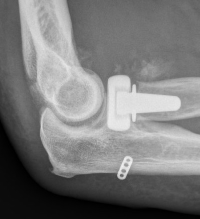
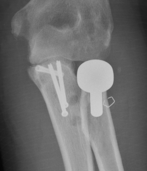
Type II / Reconstructable radial head Type III / Radial head arthroplasty

Lateral / Kocher approach

- ORIF radial head with screws/ plate

- LCL +/- common extensor origin repair

- reassess stability

 

Lateral / Kocher / Kaplan / EDC split approach

- excise radial head

- can suture small coronoid process fracture through gap

- radial head replacement

- LCL +/- common extensor origin repair

- reassess stability

 

Unstable

- medial approach 

- FCU split / over the top approach to coronoid process

- ORIF coronoid process with sutures / buttress plate / screws

- MCL repair +/- common flexor origin repair

- reassess stability

Unstable

- medial approach 

- FCU split / over the top approach to coronoid process

- ORIF coronoid process with sutures / buttress plate / screws

- MCL repair +/- common flexor origin repair

- reassess stability

Unstable - external fixation Unstable - external fixation

 

terribleterribleterrible

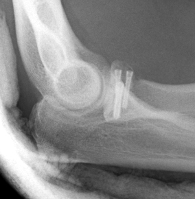
Radial head replacement with lag screw fixation of Type II coronoid

 

terribleterribleterribleterrible

Radial head replacement with lasso fixation of small coronoid fragment

 

Results

 

Outcomes

 

Stambulic JSES Rev 2022

- systematic review of terrible triad injuries

- mean flexion arc 110 degrees

- 30% complication

- 8% revision

- 11% HO

- 3% ulnar nerve

 

HOHO

 

Coronoid process - only fix type III?

 

Antoni et al Orthop Traumatol Surg 2019

- 30 patients with terrible triad and Type I coronoid process

- some coronoid tip suture, some not

- no difference between two groups

- recommend no need to fix Type I coronoid process fractures

 

Papatheodorou et al CORR 2014

- 14 terrible triad with 2 type I and 12 type II coronoid process fractures

- no surgery to coronoid process

- LCL + radial head surgery, no MCL or external fixator

- no recurrent instability

- recommend surgery for type III coronoid process fractures only

 

Kim et al J Clin Med 2020

- 24 terrible triad with radial head surgery / LCL repair +/- MCL repair

- only type III coronoid process repair (4/24)

- no recurrent instability

 

External fixation

 

Iordens et al CORR 2025

- 26 patients with complex elbow dislocation required external fixators

- mean loss of range of motion 30 degrees

- 37% complications

- 26% secondary surgery

- 1 recurrent instability

 

Dislocation with olecranon fracture

 

www.boneschool.com/proximal-ulna-fracture-dislocations