Capitellum fractures

 

Elbow Capitellar Fracturecapcap

 

Definition

 

Coronal shear fracture of the distal humerus

Capitellum +/- trochlea

 

Mechanism

 

FOOSH

 

Bryan & Morrey Classification

 

Type I Type II

 

Large osseous fracture of the capitellum 

 

Articular cartilage injury with little bone

 

Hanh Steinthal fracture

 

Kocher Lorenz fracture  
ORIF Typically remove
cap cap

 

Dubberly Classification

 

Type I Type Ii Type III

 

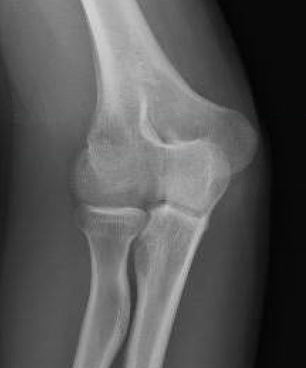
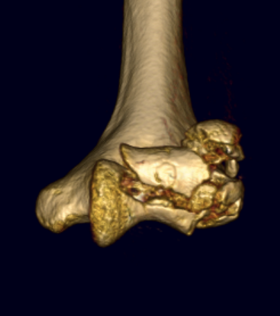
Capitellar fracture

 

Capitellum + trochlea fracture

In one piece

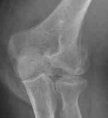
Double arc sign seen on xray

Capitellum + trochlea fractures

In two separate pieces

cap cap cap
cap cap capitellum
cap

cap

Double arc sign on xray

cap

 

Concomitant injuries

 

Radial head

 

Watts et al JBJS Br 2007

- 79 capitellar fractures

- 24% had a radial head fracture as well

 

LCL

 

Dubberley et al JBJS Am 2006

- 27 capitellum fractures treated with surgery

- 41% had associated LCL injuries

- 7/11 LCL injuries were avulsion fractures of the lateral epicondyle

 

capcapcap

Capitellum fracture with radial head fracture

 

capcap

Capitellum fracture with radial head dislocation due to LCL injury

 

Operative management

 

Indication

 

Displaced fractures

- block flexion

- disrupt articular surface

 

Approaches

 

Lateral approach Anterolateral approach Posterior trans-olecranon approach

Workhorse

Dubberly Type I / II

Difficult / comminuted fractures

Dubberly Type II / III

Increased trochlea exposure

Difficult / comminuted fractures

Dubberly Type II / III

Increased trochlea exposure

Kocher approach - between aconeus and ECU

Hotchkiss approach - split the EDC

Kaplan approach - between EDC and ECRB

+/- Lateral epicondyle osteotomy to improve visualization

Between biceps / brachialis and brachioradialis

Need to identify and protect radial nerve

Olecranon osteotomy
AO surgery reference lateral approach elbow AO surgery reference anterolateral approach capitellum  
  Surgical technique article  

 

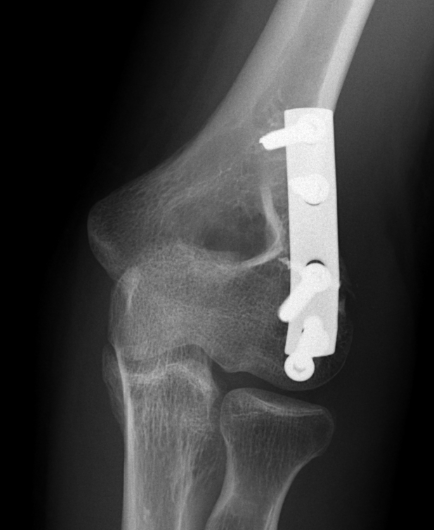
Fixation

 

Headless compression screws AP / PA

Posterolateral plate

 

Lateral approach and ORIF

 

Technique

 

AO surgery reference capitellum fracture ORIF

 

Vumedi capitellum fracture fixation with AP screws video

 

Vumedi capitellum fracture fixation with PA screws video 

 

Arm on side table with tourniquet

- lateral approach centered on lateral epicondyle

- split extensor muscle

- open capsule and identify capitellum fracture

- reduce fracture

 

Usually AP headless compression screws (violates articular surface)

- +/- PA screws (risk AVN)

- +/- excise isolated cartilage lesions

- +/- postero-lateral plate

 

AP v PA screws

 

Heller et al J Hand Surg Am 2025

- systematic review of AP v PA screws capitellum fixation

- higher AVN with PA screws (29% vs 11%)

- higher revision fixation with AP screws (7 v 3%)

- higher heterotopic ossification with AP screws (22 v 7%)

 

Capitellar Fracture ORIF0001Capitellar Fracture ORIF0002

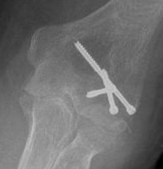
ORIF with AP screws

 

capcapcapcap

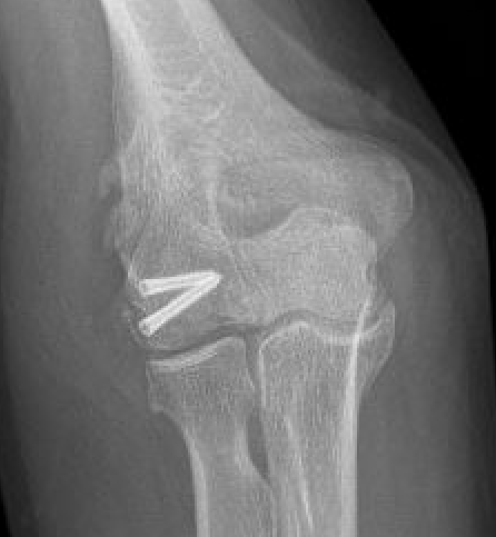
ORIF Type II with screws

 

capcapcap

ORIF with PA screws and posterolateral plate

 

capcapcap

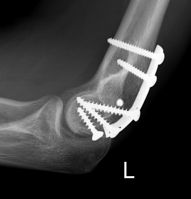
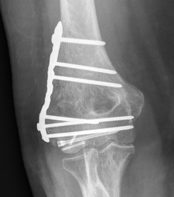
Large capitellum fracture / lateral column ORIF with plate and screws

 

capcapcap

Comminuted coronal shear fracture in elderly patient treated with distal humerus replacement

 

Results

 

Outcomes

 

Lari et al Orthop Res Rev 2024

- systematic review of 41 studies and 700 patients

- mean extension loss 5 degrees, pronation 75 degrees, supination 75 degrees

- complications 20%

- reoperation 8%

- implant removal 10%

- stiff elbows 6%

- nerve palsies 2%, non-union 1.5%, infection 1% 

 

Heller et al J Hand Surg Am 2025

- systematic review of complications after capitellum fixation

- elbow pain 21%

- radiocapitellar arthritis 19%

- hardware removal 17%

- HO 13% 

 

cap hocap hocap ho