Ulna collateral ligament injury

 

UCLMilkers Sign 2MCLMCL

 

Etiology

 

Throwing athletes - repetitive microtrauma / valgus stress

 

Medial sided elbow pain

 

Baseball pitchers most common

- javelin throwers

- football quarterback

- tennis players

 

Anatomy of Ulna Collateral Ligament (UCL)

 

Provides valgus stability

 

Three components

 

Anterior band Posterior band Transverse band

Most important

Stabilizes from 30 - 90 degrees flexion

Fan shaped

Stabilizes from 90 - 120 degrees

Does not cross elbow joint

Does not contribute to vaglus stability

Medial epicondyle to sublime tubercle

 

Medial epicondyle to medial semilunar notch of ulna

Medial olecranon to medial coronoid

Taut band

Mean 6 mm thick

   
UCL mcl ucl

 

History

 

Medial sided elbow pain

 

Reduction in velocity & accuracy

 

40% ulna nerve symptoms

 

Examination

 

Pain on palpation of anterior bundle MCL

- flexor pronator muscle bulk covers insertion in full extension

- reveal UCL with flexion

 

Valgus stress test Milking maneuver

Patient supine

 

Elbow flexed 25 degrees (removes bony stability)

- valgus stress and palpate UCL

Patient seated or standing

 

Shoulder extended and externally rotated

- thumb pointing out / wrist supinated

- elbow at 90 debrees

- pull on thumb and extend arm which places a valgus strain

Modified Jobes - patient prone  
Elbow MCL Test ProneElbow MCL Test Prone 2 MIlkers Sign 1Milkers Sign 2

 

MRI

 

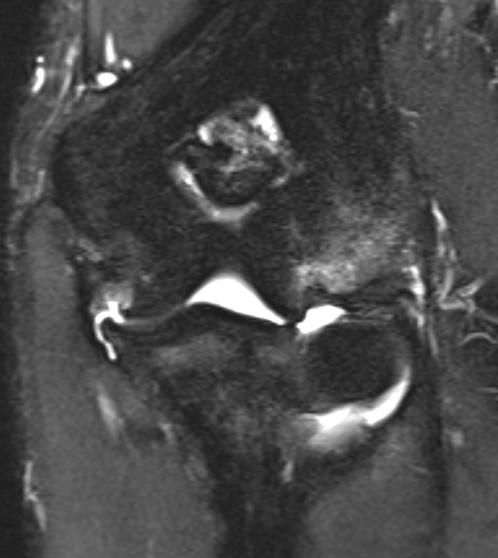
Intact

 

UCLUCL

 

Grading of tears

 

Proximal / midsubstance / distal injury

Partial tears - low grade versus high grade

Complete tears

 

UCLUCL

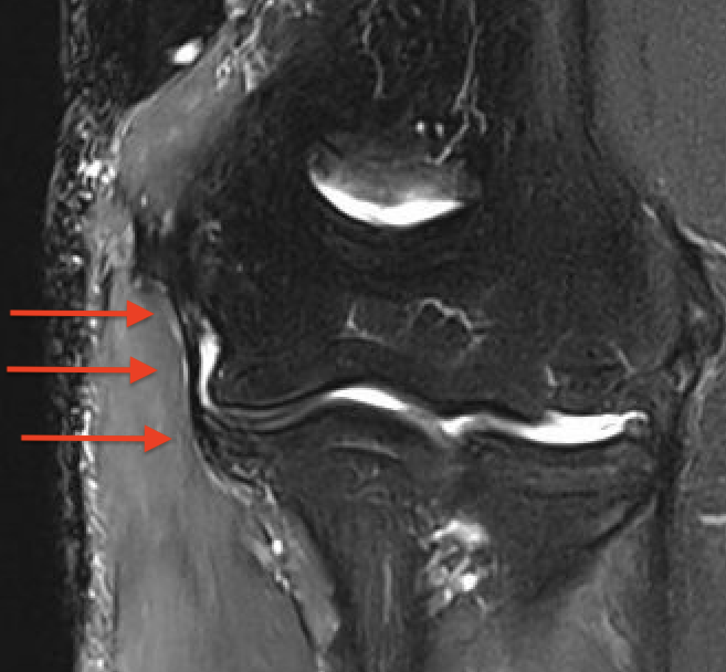
Acute full thickness UCL tear

 

UCLUCL

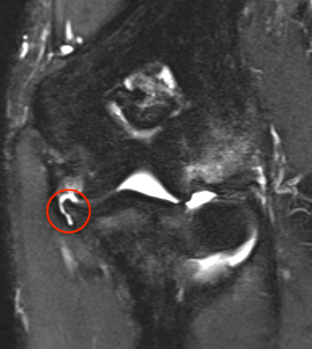
High grade partial distal UCL tear

 

 

PRLIPRLI

Bony avulsion UCL complex medial epicondyle

 

PRLIPLRI

Bony avulsion UCL sublime tubercle

 

MRI findings in asymptomatic throwing elbows

 

Hoshika et al AJSM 2024

- MRI of elbow in 426 baseball players

- 2/3 asymptomatic, 1/3 symptomatic

- 30% had evidence of high grade UCL injury

- no difference between groups

 

Nonoperative management

 

Options

 

Rest

Physiotherapy

PRP

 

Results

 

Outcome

 

Chauhan et al AJSM 2019

- 544 MLB players treated nonoperatively for UCL injury

- 54% return to play

- no effect of PRP / distal v proximal tears / MRI grading

 

Gopinatth et al AJSM 2023

- systematic review of nonoperative care of UCL injuries

- return to previous level of sport 78%

- return to sport proximal tears: 90%

- return to sport distal tears: 41%

- lower return to sport with increasing UCL injury grading

- no effect of PRP

 

Incomplete tears

 

Walker et al AJSM 2021

- 27 professional baseball players with incomplete UCL injuries

- treated non operatively

- return to play pitchers 82%

- return to play position players 90%

 

Operative management

 

Options

 

1.  UCL reconstruction with autograft

- palmaris longus if present

- gracilis / semitendinosis

- "Tommy John surgery" - name after famous MLB pitcher who was first to have surgery

 

1.  UCL repair +/- internal brace -

- if avulsed from medial epicondyle or sublime tubercle

 

+ / - ulnar nerve transposition 

 

Ulna collateral ligament reconstruction

 

UCL

 

Graft choices

 

Palmaris longus - present 85% / press thumb and finger together

Gracilis / semitendinosis 

 

Vumedi 2 incision palmaris longus harvest technique video

 

PLPL

 

Approach

 

Medial approach

- incision over medial epicondyle

- protect antebrachial cutaneous nerve

- protect and identify ulna nerve

- split FCU to expose ulna collateral ligament

- split UCL longitudinally

 

Modified Jobe / Figure 8 reconstruction

 

MCLMCL

 

Technique

 

Vumedi UCL reconstruction with palmaris longus and figure 8 video

 

Proximal insertion - Y shaped tunnel in medial epicondyle

Distal insertion - transverse tunnel across ulna / sublime tubercle 

 

Docking technique

 

Docking UCL

 

Technique

 

Vumedi UCL reconstruction with palmaris longus and docking technique video

 

Arthroscopy techniques UCL reconstruction with palmaris longus and docking technique PDF

 

Distal insertion - transverse tunnel across ulna / sublime tubercle 

Proximal insertion - blind tunnel in medial epicondyle 

 

Results

 

Outcomes

 

Cain et al Am J Sports Med 2010

- modification Jobe technique + subcutaneous ulna nerve transfer

- 942 patients followed up for 2 years minimum

- 83% returned to previous level of sport at mean 12 months

 

Anderson et al AJSM 2022

- systematic review of 15 studies and 1100 patients

- mean age 20

- 86% return to sport at same level at mean 12 months

 

Graft type and technique

 

Griffith et al AJSM 2019

- 566 professional baseball players undergoing UCL reconstruction

- 64% palmaris longus: 83% return to play

- 24% gracilils: 81% return to play

- modified Jobe: 82% return to play & 6% revision UCL

- docking technique: 80% return to play and 6% revision UCL

 

Revision

 

Glogovac et al AJSM 2019

- systematic review of 5 studies of revision UCL reconstruction

- MLB pitchers: return to sport at same level 69%

 

Primary UCL repair with internal brace augmentation

 

Technique

 

Arthrex internal braceArthrex internal brace

Arthrex internal brace UCL surgical technique PDF

 

Vumedi primary UCL repair with internal brace augmentation video

 

Arthroscopy techniques UCL repair with internal brace augmentation PDF

 

Arthrex UCL repair and internal brace video

 

Medial incision over medial epicondyle

- protect ulna nerve

- split FCU

- expose ulna collateral ligament

- repair avulsion from medial epicondyle / sublime tubercle as indicated with anchor

- ensure isometric

 

Results

 

Repair with internal brace versus reconstruction

 

Dugas et al ASJM 2025

- 461 athletes with repair + internal brace versus reconstruction

- repair if avulsed from medial epicondyle or sublime tubercle

- UCL repair: revision rate 9%, return to sport 99% at mean 9 months

- UCL reconstruction: revision rate 8%, return to sport 98% at mean 13 months

- no difference in outcomes but earlier return to sport with repair