Ischiofemoral impingement

 

IFIIFIIFI

 

Definition

 

Narrowing of the ischiofemoral space between lateral ischium and lesser trochanter

 

Entrapment / compression of quadratus femoris

 

Ischiofemoral impingement

 

Cause

 

Primary

- enlarged lesser trochanters

- increased proximal femoral anteversion

- coxa valga

 

Secondary

- proximal femoral fractures

- osteochondromas

- THA

 

Epidemiology

 

Bilateral in 25% but not always symptomatic

 

More common in women as ischial tuberosities wider apart

 

Symptoms

 

Pain medial lower buttock and posterior thigh

- worsened with long stride 

- worsened with hip extension

 

Clunking / snapping

- forceful impingement of lesser tuberosity over the ischial tuberosity

 

Examination

 

Pain lateral to the ischial tuberosity

 

Patient on side - extend and externally rotate hip

 

Long stride walking test

 

Differential diagnosis

 

Iliopsoas tendonitis

Proximal hamstring tendinopathy

Piriformis syndrome

 

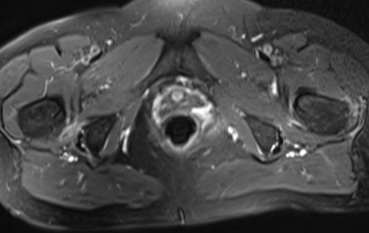
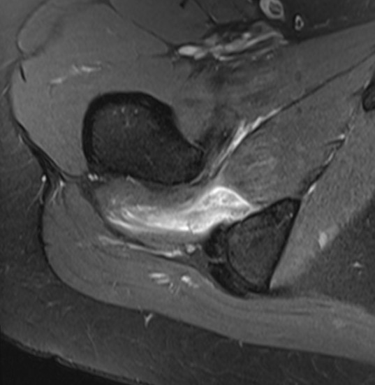
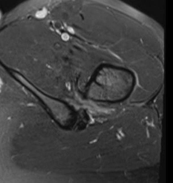
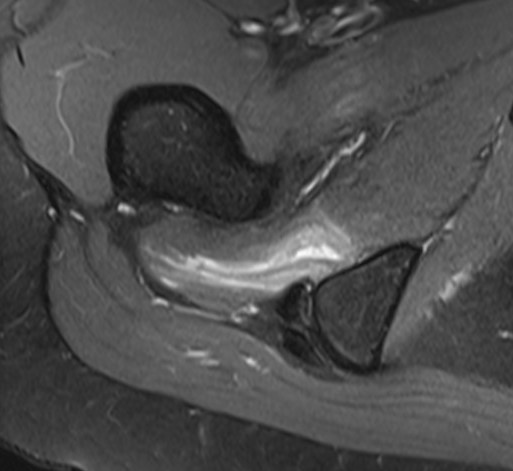
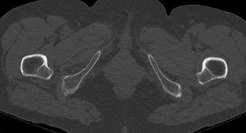
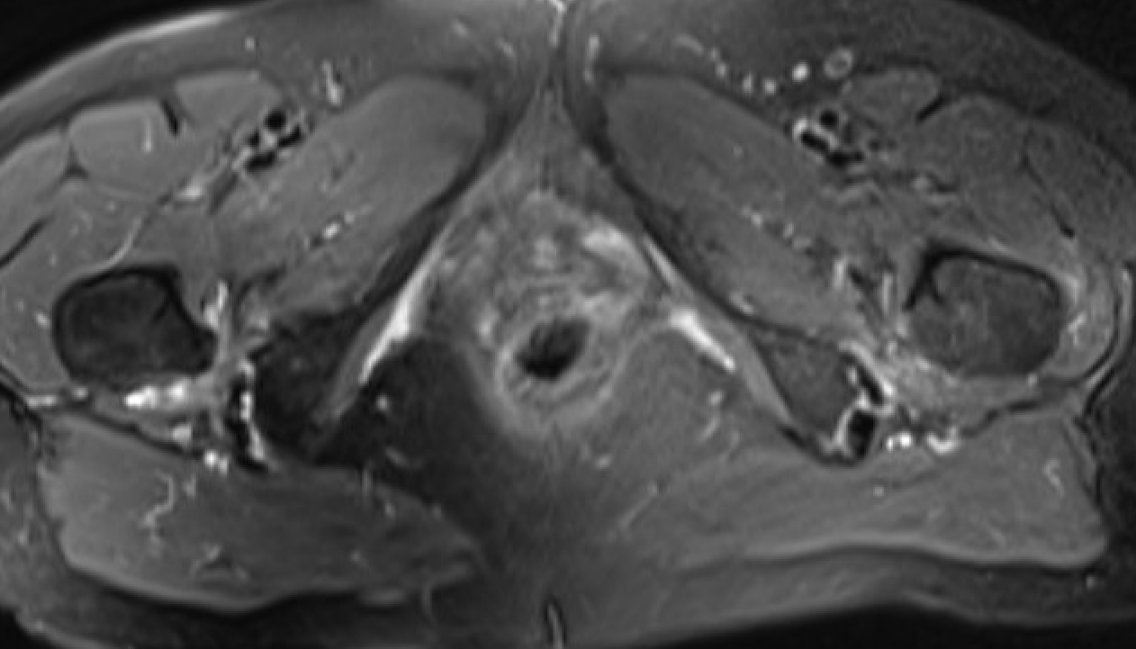
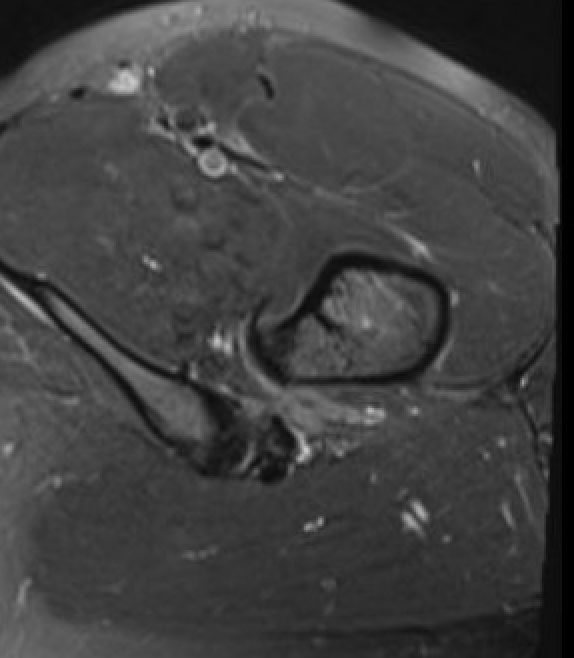
MRI 

 

Reduced ischiofemoral space - distance between the lesser trochanter and the ischial tuberosity

 

Reduced quadratus femoris space - distance between hamstring tendon and iliopsoas

 

Inflammation / edema in quadratus femoris +/- fatty degeneration

 

IFIIFI

 

IFIIFIIFI

 

IFIIFIIFI

 

Singer et al Skeletal Radiol 2015

- systematic review of 190 hip MRI of patients with ischiofemoral impingement

- compared to controls

- ischiofemoral space < 15 mm: sensitivity  77%, specificity 81%, accuracy 78%

- ischiofemoral space < 10 mm: sensitivity 79%, specificity 74%, accuracy 77%.

 

CT

 

IFI

 

IFIIFIIFI

 

IFIIFIIFI

 

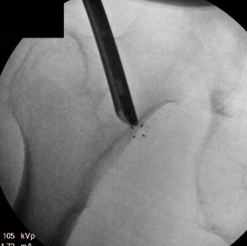
Injections

 

CT / Ultrasound guided local anesthetic and cortisone around quadratus

- diagnostic

- +-/ therapeutic

 

Operative management

 

Options

 

Lesser trochanter resection - open versus arthorscopic

Lateral ischial resection

 

Endoscopic lesser trochanter decompression

 

Anterior endoscopic technique

 

IFIIFIifi

 

Advantage 

- no risk of injury sciatic nerve

 

Disadvantage

- release iliopsoas tendon

 

Technique

 

Arthroscopy techniques anterior endoscopic lesser tuberosity resection video

 

Vumedi anterior endoscopic lesser tuberosity resection video

 

Posterior endoscopic technique

 

Approach

- make window in quadratus femoris

- medial circuflex flexoral artery superior

- first perforating branch of profunda femoris inferiorly

 

Advantage

- lesser trochanter is posterior

- preserves anterior insertion of iliopsoas tendon

 

Disadvantage

- risk of bleeding from medial circumflex / first perforating

- risk injury to sciatic nerve

 

Technique

 

Lesser trochanter endoscopic decompression patient supine

 

Video J Sports Med endooscopic decompression patient prone

 

Open lesser trochanter decompression +/- sciatic nerve neurolysis

 

Technique

 

Open posterior posterior approach with patient prone

 

Endoscopic ischial tuberosity debridement

 

Disadvantage

- takedown of proximal hamstring tendon

 

Technique

 

Video J Sports Med endoscopic ischial tuberoplasty video