Distal Radius Fracture

Epidemiology

 

2 groups

 

1.  Elderly

- low velocity injury

- osteoporotic

- need to start bisphosphonates

 

2.  Young patients

- high velocity injury

 

Anatomy

 

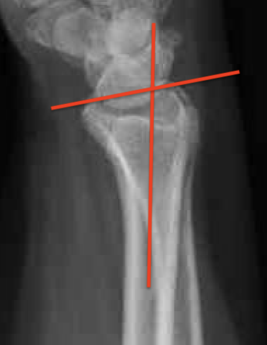
Distal Radius Angles

- radial volar tilt 11°

- radial inclination  22°

- radius is 11 mm longer than ulna 

- ulna variance 2mm positive on average

 

Distal Radius NormalNormal Radial InclinationNormal Radial Length

 

3 independent articular surfaces

1.  Scaphoid facet

2.  Lunate facet

3.  Sigmoid notch

 

Base of ulna styloid

- insertion point TFCC

- insertion point ulno-carpal ligaments

- crucial for stability DRUJ

 

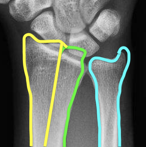
3 Columns

 

1.   Lateral radial

2.   Medial radial

- dorsal medial radial

- volar medial radial

3.  Ulna column

- ulna styloid and TFCC

 

Volar radius

- subject to compressive forces

- thicker and stronger

 

Dorsal radius

- subject to tensile forces 

- thinner and cancellous

 

Associated  Injuries

- TFCC tears

- SL ligament

- LT ligament

 

Fracture Patterns

 

Frykman Classification

 

Frykman Classification

 

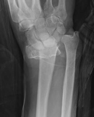
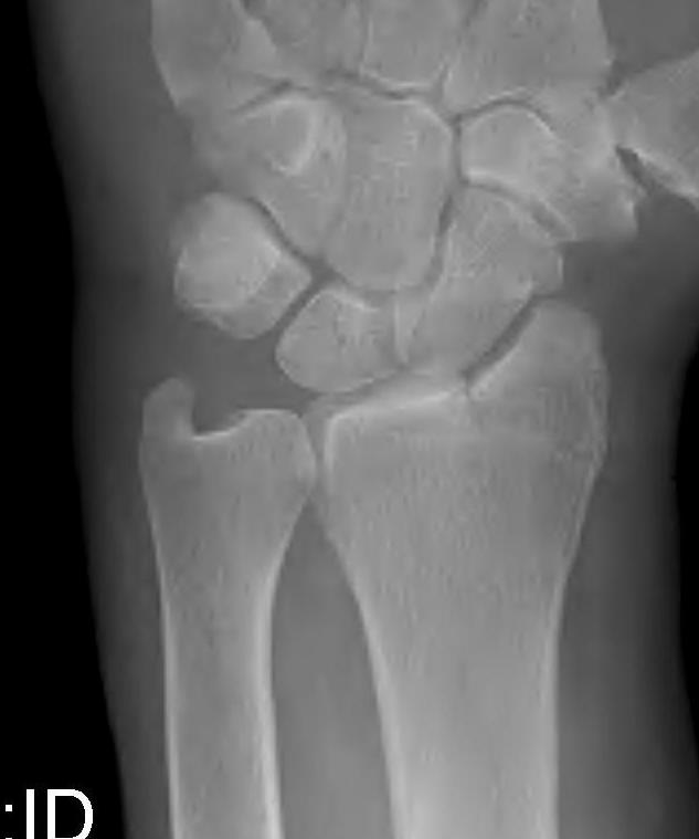
Radial Styloid and Lunate Fragments

 

Distal Radius Fracture Undisplaced Intraarticular

 

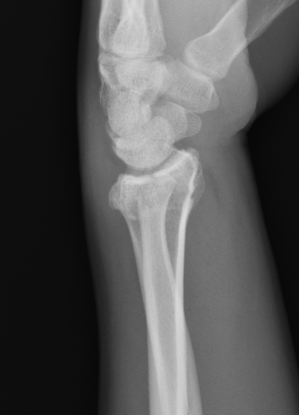
Dorsal ulna / volar ulna

 

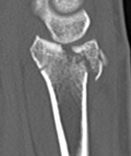
Distal Radius Volar and Dorsal Ulna FragmentsDistal Radial Fracture CTDistal radius volar ulnar fracture

 

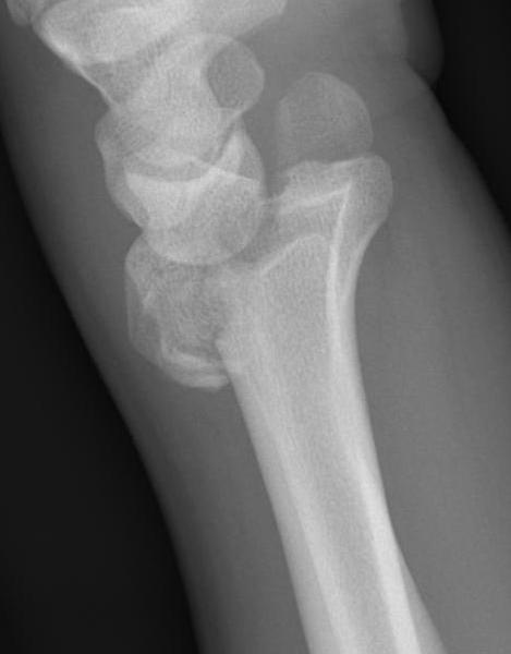
Distal Radius Dorsal Ulna FragmentDRUJ FractureDistal Radius Radioulna Fragments

 

Eponyms

 

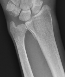
Colle's Fracture

- distal radial fracture with dorsal displacement

 

Wrist Colle's Fracture

 

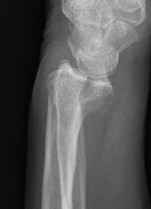
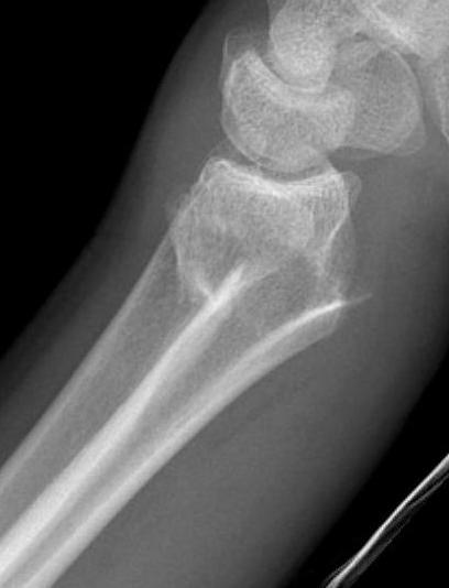
Smith's Fracture

- distal radial fracture with volar displacement

- need long arm cast in supination

 

Distal Radius Smiths Fracture

 

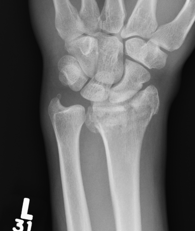
Volar Barton's

- volar intra-articular fragment

- inherently unstable

- usually need volar buttress plate

 

Wrist Volar BartonsVolar Bartons CTVolar Bartons Buttress Plate

 

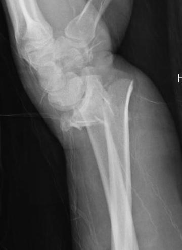
Dorsal / Reverse Barton's

- dorsal intra-articular fragment

 

Wrist Dorsal BartonsWrist Dorsal Bartons CT

 

Chauffeur's Fracture

- radial styloid fracture

- ORIF displaced > 2mm (K wires / partially threaded screws / radial styloid plate)

- ensure not missing perilunate dislocations

 

 Radial styloid fractureRadial Styloid K wires.jpgRadial Styloid ORIF APRadial Styloid ORIF Lateral

 

Management

 

Initial

 

All fractures should be reduced initially and reassessed

- conscious sedation

- 2 minutes of traction / reduction of deformity

- backslab / elevation in gallows

- re-xray

 

Distal Radius Fracture Severely Displaced.jpgDistal Radius Post Reduction.jpg

 

CT for further evaluation of articular congruency

 

Indications for surgery

 

Absolute

- open fracture

- acute severe CTS

 

Relative

- failure to obtain and maintain adequate reduction

- instability

- articular incongruency

- likely unstable / dorsal comminution

 

Distal Radius Fracture Dorsal Comminution

 

Unacceptable reduction

 

1.  Distal radial Step > 2mm

- leads to RC OA radiographically

- not proven to lead to dysfunction

 

Distal Radius Fracture Articular Step Coronal CTDistal Radius Fracture Articular Step Sagittal CT

 

2.  Articular incongruency sigmoid notch / DRUJ > 2 mm

 

Distal Radius Fracture DRUJ incongruent

 

DRUJ FractureDRUJ Fracture CT

 

3.   Radial shortening > 5 mm

- leads to ulnocarpal abutment

 

4.  Radial inclination < 15o

 

5.  Sagittal tilt

- > 15o dorsal

- > 20o volar

- +/- marked dorsal comminution

 

7.   Risk carpal subluxation

- Barton's fracture / dorsal Barton's

 

8.  Ulna styloid

- no indication to treat unless unstable DRUJ

 

Options

 

K wires

Volar / Dorsal plates

External Fixation

 

Results

 

Operative v Nonoperative

 

Arora et al JBJS Am 2011

- RCT

- MUA & cast v plate fixation in > 65 year olds with displaced fractures

- no significant difference in functional outcome at one year

- improved grip strength in operative group, and better xray measurements but increased complications

 

K wire v Plates

 

Marcheix et al J Hand Surg Eur Vol 2010

- RCT of pins v fixed angle plate in dorsally displaced unstable fractures in patients > 50

- extra and intra-articular

- fewer loss of reduction and better functional scores at 6 months with fixed angle plates

 

Rozental et al JBJS Am 2009

- RCT of ORIF v K wire in 45 patients

- ORIF better functional scores early

- similar outcomes at one year

 

Plates v External Fixation

 

Abramo et al Acta Orthop 2009

- RCT of 50 patients unstable comminuted distal radial fractures

- at one year better ROM and fewer malunions in group treated with trimed plate

- no difference in subjective outcome

 

Leung JBJS Am 2008

- RCT of pins / external fixator v locking plates for intra-articular fractures

- significantly better outcome in locking plate group

 

Grewal et al J Hand Surg 2011

- RCT ORIF v external fixation

- ORIF better function early

- similar outcomes at one year

 

Surgical Techniques

 

1.  Percutaneous K Wire

 

Distal Radius Fracture K wiresDistal Radius Fracture K wires APDistal Radius Fracture K wires LateralDistal Radius K Wires

 

Indications

- extra-articular unstable fractures

- young people without osteoporosis 

- minimal comminution

 

Technique of Colles / Extra-articular fracture / Dorsal displacement

 

GA

- reduction of fracture

- check under II

 

Radial K wire

- distal to proximal

- insert percutaneously to bone

- can make small incision / blunt dissect to protect branches SRN

- Kapandji technique or simply cross fracture site

- engage other cortex

- 1.6 or 2 mm K wire

 

Dorsal K wire Kapandji technique

- percutaneous

- insert by hand into fracture site

- tilt to reduce dorsal displacement of distal fragment

- drive into proximal radius and engage volar cortex

 

2.  ORIF with locking plates

 

Distal Radius Plate APDistal Radius Plate Lateral

 

Advantages

- accurate restoration of intra-articular anatomy

- stable fixation

- early mobilisation

 

Equipment

 

Locking plates

- volar / radial styloid / dorsal plates

- screws act as fixed angle devices

- screws variable angle

 

Radial Styoid Plate

 

Fragment specific sets

- pin fixators / paper clips

- good for dorso-ulna fragments

- variable angle screws

 

Technique

 

Volar / Henry approach

- can extend into CTD if required

- floor of FCR

- divide fascia

- radial artery laterally

- palmar cutaneous branch median nerve medial side FCR

- elevate pronator quadratus from radial to ulna

- release BR if required

- do not incise volar capsule (cut RSC / RL and other important ligaments)

- doing so can lead to volar RC instability

 

Reduce fragments

- pull out to length / correct angulation

- temporarily stabilise with K wires

- check alignment

- apply volar plate

- check orientation of distal screws with K wire to ensure not in joint

- on lateral, raise hand 30o to view joint

- screw fixation in scaphoid and lunate fragments

- long screws to engage dorsal cortex (24 - 26mm)

- radial styloid plate if required

 

Volar ulna approach indications

- perform CTD

- use interval between long flexors and FCU to access DRUJ and volar-ulna radius

 

Dorsal approach

- if unstable dorso-ulna fragment

- midline incision

- open 3rd compartment

- open 4th and sharply dissect radially

- may wish to close ER under tendons to protect from plate

 

Post op

- POP backslab for 10 days

- early ROM if stable

 

3.  External Fixation + / - Supplemental K wires

 

Distal Radius External Fixation

 

Indications

- compound fractures

- severe unreconstructable injuries

- very osteoporotic bone

 

Technique

- 2 x half pins dorsal radius (4mm)

- 2 x half pins IF / MF metacarpal (3 mm)

 

Complications

 

1.  Tendon problems

- most common problem

 

A.  FPL ruptures

B.  FCR tenosynovites

C.  Dorsal extensor tendon involvement from protruding screw or from dorsal plates

 

2.  Stiffness

 

Can continue for up to 18 months

- difficulty regaining full supination / pronation

 

3.  Median nerve dysfunction

 

4.  CRPS 2

- excessive traction on median nerve / long surgery

 

4.  Radial artery pseuodoaneurysm