Arthroplasty

 

SNOHSNOH Hemi 2SNOH

 

Indications

 

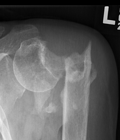
Severe comminuted proximal humerus fractures

100% displaced / off ended

Fracture - dislocations

 

SNOHSNOHSNOH

 

Arthroplasty options

 

Reverse total shoulder arthroplasty

- elderly patients

- better outcomes than hemiarthroplasty

 

Hemiarthroplasty

- young patients with unreconstructable fractures

- too young for rTSA

 

Reverse TSA versus hemiarthroplasty

 

Jonsson et al JSES 2021

- RCT of 99 patients rTSA v hemiarthroplasty

- > 70 years and displaced 3 or 4 part SNOH fracture

- 10 point better Constant score with rTSA

- better ROM with rTSA: abduction 110 v 80, flexion 125 v 90

 

Austin et al J Orthop Trauma 2019

- systematic review of hemiarthroplasty v rTSA

- > 65 with SNOH fracture

- 15 studies and 900 patients

- rTSA better pain scores, functional outcome, ROM and lower reoperation rates

 

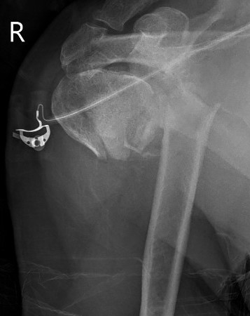
Reverse total shoulder arthroplasty

 

Indications

 

Unreconstructable fracture in elderly > 65

- comminuted, 3 or 4 part

- head spltting fracture

- off ended / 100% displaced

 

SNOHSNOHSNOH

 

SNOHSNOHSNOH

 

Technique

 

Vumedi reverse TSA for fracture video

 

www.boneschool.com/rTSA-technique

 

Results

 

rTSA for proximal humerus fracture versus rotator cuff arthropathy

 

Paras et al JSES 2022

- systematic review of rTSA for proximal humerus fracture v rotator cuff arthropathy

- worse clinical outcomes and ROM for fracture treatment

 

Revision rate

 

Australian Joint Registry 2024 

 

Indication 1 year 5 year 10 year 14 years
Rotator cuff arthropathy (n=20,500) 2.3 4.2 5.4 6.1
Osteoarthritis (n=24,000) 1.9 3.5 5.0 6.7
Fracture (n=8,000) 3.1 4.8 5.9 5.9

 

Cemented versus uncemented

 

Kao et al Eur J Orthop Traumatol 2023

- systematic review of 34 studies cemented v uncemented rTSA for proximal humerus #

- improved Constant score with cemented rTSA

- no difference in complications

 

Rossi et al JSES 2022

- systematic review of 45 studies cemented v uncemented rTSA for proximal humerus #

- no difference in outcomes

- high complication rate uncemented rTSA 10% v cemented 6%

 

Tuberosity fixation / healing

 

Vaccaro et al JSES 2025

- rTSA for proximal humerus #

- improved functional outcomes with tuberosity healing

 

O'Sullivan et al JSES 2020

- systematic review of 800 patients with rTSA for fracture

- improved forward flexion and abduction with tuberosity healing

 

Complications

 

Bents et al JSES Rev Rep 2024

- systematic review of complications after rTSA for fracture

- 100 studies and 10,000 cases

- overall complication 7%

- instability 2%

- infection 1%

- periprosthetic fracture 1%

- revision rate 3%

 

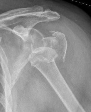
Hemiarthroplasty

 

Indications

 

Unreconstructable fracture - 4 part, comminuted, head spltting fracture

Insufficient glenoid

Patients too young for rTSA

 

Proximal Humerus 4 Part Fracture In ElderlyProximal Humerus UnreconstructableSNOH Hemi 2

 

Technique

 

Beach chair / deltopectoral approach

- need to be able to extend humerus to insert stem

 

Extensile approach 

- release CA ligament

- release proximal pectoralis major

- release anterior deltoid insertion from lateral clavicle if needed (intra-osseous repair later)

- protect musculocutaneous nerve under conjoint, minimal retraction

- protect the axillary nerve on inferior border of SSC medially

 

Tuberosities

- identify and release biceps tendon

- identify and tag greater and lessor tuberosities with Mason Allen sutures

 

Prosthesis

 

Remove and size anatomical neck

- identify diameter and thickness

- ream humerus and trial stem

 

Humeral height

- trial with arm hanging to replicate weight

- will usually need to leave stem proud from fracture

- should be able to anatomically restore tuberosities

- cement stem with retroversion of 30o

 

Repair tuberosities to the humeral stem

 

Shoulder Hemiarthoplasty TraumaShoulder Hemiarthroplasty Trauma 2SNOH Hemi 1

 

Results

 

Zhao et al Int Orthop 2023

- 14 year outcome of 87 HA for proximal humerus fractures

- 10 year survival 97%

- mean Constant score 80

- mean forward flexion 125 degrees

- 22% greater tuberosity complications - worse outcomes

- 65% glenoid wear - worse outcomes

 

Complications

 

hemi failed

Loss of tuberosity fixation