


Anatomy


Triangular Fibrocartilage Complex
- central articular disc
- arises ulnar aspect of lunate fossa of radius
- inserts fovea at base of ulna styloid
Dorsal and Palmar radioulnar ligaments
Only peripheral 10 - 30% has blood supply
Palmer Classification TFCC Lesions
Traumatic versus degenerative


| Class 1: Traumatic | Class 2: Degenerative / ulnocarpal abutment |
|---|---|
|
a: Central perforation
|
a: TFCC wear without perforation |
|
b: Ulna avulsion +/- ulna styloid fracture - can be associated with DRUJ instability
|
b: TFCC wear with lunate-triquetral and/or ulnar chondromalacia |
|
c: Distal / carpal avulsion - ulno-lunate / ulnotriquetral injury - uncommon - high energy injuries - can be associated with DRUJ instability / carpal instability
|
c: TFCC perforation +/- chondromalacia |
|
d: Radial avulsion +/- sigmoid notch fracture
|
d: Type 2a/b/c + lunotriquetral ligament perforation |
|
e: Type 2 a/b/c/d + ulnocarpal arthritis
|
Incidence of asymptomatic TFCC tears
Wang et al, J Hand Surg Eur Vol
- MRI of 154 patients >20 years with asymptomatic wrists
- 44% had full thickness tear
- 17% < 30 years, 77% > 60 years
Clinical
History
- history of wrist trauma
- ulna side wrist pain with rotation (opening doors and jars)
- pain with gripping
Examination
- focal tenderness ulna base volar side
- pain and clicking with maximal supination / pronation
- pain with passive ulna deviation and wrist pronation / grind test
- DRUJ instability: piano key / shuck test
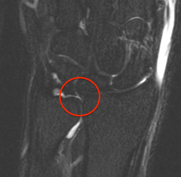
MRI
Normal


TFCC tears


Ulna sided tear


Radial sided TFCC tear


Central TFCC tear
Ulno-carpal abutment


Ulnocarpal abutment and lunate chondromalacia

Ulna positive with ulnocarpal osteoarthritis
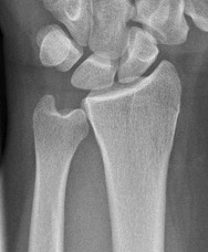
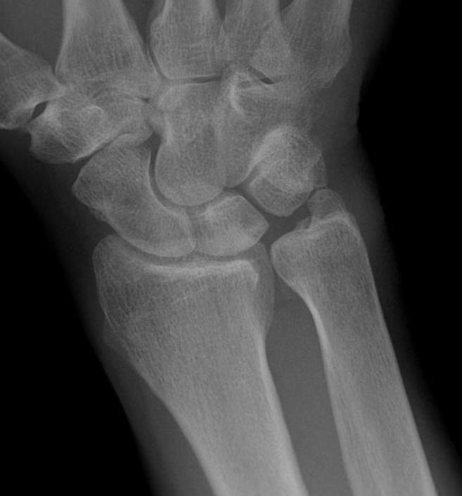
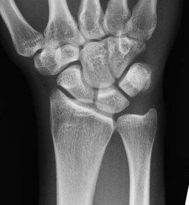
Xrays
Ulna variance
Wide variation in the population - increased load on TFCC with ulna positive
Xray in neutral supination / pronation
- variance is not static and varies up to 3 mm with wrist position
- ronation increases ulnar variance
- supination decreases variance
Transverse line of lunate fossa to transverse line of ulna head

Ulna neutral


Ulnar negative
Ulna positive
Non operative management
Options
Physiotherapy
Splints
Cortisone injections
Traumatic TFCC tears
Options
Ulna sided tears - repair
Radial sided tears - repair or debridement
Central perforation - debridement +/- ulna shortening / recession
Ulna sided TFCC tears

Technique open repair
Dorsal approach
- 5/6 approach / bed of EDM
- interval between EDM and ECU
- open capsule
- sutures in TFCC
- suture over capsule
- +/- pass through drill holes in base ulna styloid
- +/- suture anchors
Arthrex open ulna sided TFCC repair video
Arthrex open TFCC repair video
Technique arthroscopic repair

Ulna / foveal sided TFCC tear on arthroscopy
Technique
- viewing via 3-4 portal
- instrumentation via 6R +/- 6U portal (either side of ECU)
- pass outside in and suture over capsule
- suture anchor repair
- drill hole in ulna


Arthrex arthroscopic TFCC repair surgical technique guide PDF
Arthrex arthroscopic repair of foveal TFCC drill hole in ulna video
Vumedi arthroscopic repair foveal TFCC drill hole in ulna video
Arthroscopy techniques arthroscopic repair of foveal TFCC tears drill hole in ulna video
Results
- arthroscopic repair of ulna sided TFCC tears in 46 patients
- average age 34
- 63% good or excellent results
- 37% fair or poor results
Radial sided TFCC tears

Radial sided repair
- more difficult
- drill holes through dorsal radius into ulna fossa
- use suture retriever
Vumedi arthroscopic repair of radial sided TFCC tear video
Central TFCC tear



Central TFCC tear with ulna negative variance
Management
Debridement +/- ulna shortening
Results
Hulsizer et al J Hand Surg Am 1997
- 97 wrist arthroscopic and debridement of central TFCC tears
- 13/97 persistent pain treated with 2 mm ulna shortening osteotomy
- 12/13 good results
Class 2 Degenerative TFCC tears



Central TFCC tear with ulna positive variance an ulnocarpal abutment on MRI
Background
Ulna impaction syndrome / Ulno-carpal abutment
Progression of wear
- TFCC thinning
- ulna head and lunate cartilage wear
- TFCC perforation
- lunate-triquetral ligament injury
- ulnocarpal osteoarthritis
Usually associated with ulna positive variance and treated with ulna shortening


Ulna shortening options
Ulna shortening osteotomy
Arthroscopic wafer distal ulna resection
Results
- systematic review of arthroscopic wafer procedure versus ulna shortening for ulna impaction syndrome
- 200 patients
- no difference in outcome
- high level of plate irritation and removal with ulna shortening ostetomy
Afifi et al J Hand Surg Am 2022
- RCT of 60 patients arthroscopic wafer procedure versus ulna shortening for ulna impaction syndrome
- no difference in outcomes
- fewer complications and earlier return to work in arthroscopic wafer group
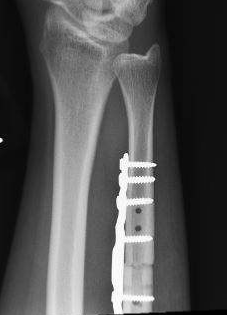
Ulna shortening osteotomy



Technique
Approach to ulna
- between ECU and FCU
- can use cutting jigs
- resect 2 - 6 mm of ulna based on xray templating
- compression plate
Vumedi ulna shortening osteotomy using cutting jig video
Medartis ulna shortening jig PDF
Acumed ulna shortening jig PDF
Results
Owens et al J Hand Surg Am 2019
- systematic review of ulna shortening osteotomy
- nonunion rate 4%
- no difference between transverse or oblique osteotomy
- delayed union: transverse 7%, oblique 4%
Arthroscopic wafer distal ulna resection
Technique
Wrist arthroscopy
- debride central TFCC to expose ulna head
- preserve dorsal and volar radioulnar ligaments and TFCC ulna insertion
- resect ulna cartilage and 2 mm of bone
Vumedi arthroscopic wafer distal ulna resection video
